内視鏡検査

内視鏡検査 ENDOSCOPE

花イラスト

胃カメラ(上部消化管内視鏡検査)

  • 胃カメラとは

    食道・胃・十二指腸を詳しく観察する検査

    胃カメラ(上部消化管内視鏡検査)は、細いスコープを用いて食道 十二指腸 を直接観察する検査です。 炎症・潰瘍・ポリープ・出血・がんなどをその場で確認でき、必要に応じて組織検査(生検)も行います。当院では経鼻内視鏡にも対応しており、嘔吐反射が心配な方にも配慮しています。

    内視鏡検査のエコー画像
  • 内視鏡検査の様子

このような症状・ご状況の方におすすめです

  • 症状1~4
  • 症状5~8

逆流性食道炎について

逆流性食道炎は、胃酸が食道へ逆流し炎症を起こす病気です。胸やけ、のどの違和感、慢性的な咳、声のかすれの原因になることがあります。
内視鏡検査により、炎症の有無、重症度、バレット食道の有無を正確に評価します。症状が軽くても、長期化すると食道がんリスクが高まるため、適切な診断と治療が重要です。

ピロリ菌(ヘリコバクター・ピロリ菌)感染について

Helicobacter pyloriは、胃粘膜に慢性的な炎症を引き起こす細菌です。感染により、慢性胃炎、胃潰瘍、十二指腸潰瘍、胃癌のリスクが高まります。
内視鏡検査時に胃粘膜の状態を確認し、必要に応じて検査を行います。陽性の場合は除菌治療を行い、将来的な胃がんリスクを低減させます。

ピロリ菌除菌後について

除菌に成功しても、胃がんのリスクが完全にゼロになるわけではありません。特に長期間感染していた方は注意が必要です。
除菌後は定期的な胃カメラによる経過観察を推奨しています。当院では粘膜のわずかな変化も見逃さない丁寧な観察を行っています。

バリウム検査異常について

健康診断で「要精密検査」「胃に影あり」などと指摘された場合は、必ず胃カメラでの確認が必要です。
バリウム検査はスクリーニング検査であり、確定診断ではありません。実際には問題がない場合もありますが、早期がんや小さな病変は胃カメラでなければ判断できません。

胃癌について

胃癌は、早期に発見できれば内視鏡治療で完治が期待できる疾患です。初期はほとんど症状がありません。
40歳以上の方、ピロリ菌感染歴がある方、胃がんの家族歴がある方は定期検査を強くおすすめします。

機能性ディスペプシアについて

逆流性食道炎は、胃酸が食道へ逆流し炎症を起こす病気です。胸やけ、のどの違和感、慢性的な咳、声のかすれの原因になることがあります。 内視鏡検査により、炎症の有無、重症度、バレット食道の有無を正確に評価します。症状が軽くても、長期化すると食道がんリスクが高まるため、適 切な診断と治療が重要です。

胃底腺ポリープについて

胃底腺ポリープは比較的よく見られる良性ポリープです。多くは経過観察で問題ありませんが、まれに別のタイプのポリープが隠れている場合もあります。内視鏡で正確に評価し、必要に応じて組織検査を行います。

アニサキス症について

アニサキス症は、生魚や刺身を食べた後に激しい胃痛を起こす病気です。
内視鏡で直接アニサキスを摘出することで、迅速に痛みが改善します。突然の強い胃痛がある場合は早めに受診してください。

異物誤嚥(魚骨・義歯・爪楊枝など)

異物が食道や胃に引っかかると、出血や穿孔を起こす可能性があります。内視鏡で安全に摘出可能です。
「飲み込んでしまったかもしれない」と感じた場合は、早めの受診をおすすめします。

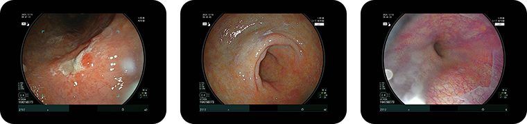
内視鏡検査の様子
  • 大腸カメラ検査の様子
  • 大腸カメラ(下部消化管内視鏡検査)

    大腸カメラとは?

    大腸全体を詳細に観察

    肛門からスコープを挿入し、直腸から盲腸まで大腸全体を観察します。
    ポリープの発見・切除 出血源の確認 炎症性疾患の診断 大腸癌の早期発見 が可能です。

    大腸カメラ検査のエコー画像

当院の大腸カメラの特徴

e01 CO₂送気による苦痛軽減

検査中に空気ではなく炭酸ガス(CO₂)を使用します。CO₂は体内に速やかに吸収されるため、検査後のお腹の張りや不快感が大幅に軽減されます。「以前つらかった」という方にも安心して受けていただけます。

e02 鎮静剤によるリラックス検査

ご希望に応じて鎮静剤を使用し、眠っているような状態で検査が可能です。
緊張や不安が強い方にも配慮しています。

  • e03 下剤(前処置)について

    大腸カメラ検査では、腸内をきれいに洗浄する「前処置」が非常に重要です。前処置の質が検査の精度を左右するといっても過言ではありません。
    当院では、患者様のご負担をできるだけ軽減できるよう、液体タイプ(腸管洗浄液を内服する方法)、錠剤タイプ(水と一緒に内服する方法)の両方をご用意しております。
    従来主流であった約2Lを内服するタイプではなく、約350〜480mLの少量洗浄液タイプ錠剤タイプを採用し、飲む量や味の負担を軽減しています。
    なお、製剤の選択にあたっては、年齢、体格、腎機能、心疾患などの既往歴、便秘の程度などを総合的に確認し、安全性に十分配慮したうえで最適な方法をご提案いたします。
    「前処置がつらそうで不安」という方も、どうぞ安心してご相談ください。

  • 下剤(前処置)の様子

便潜血について

便潜血陽性は、大腸ポリープ、大腸癌、痔、炎症性腸疾患などの可能性があります。症状がなくても、必ず大腸カメラで確認することが重要です。

大腸ポリープについて

大腸ポリープの一部は将来的にがん化する可能性があります。検査中に切除することで、大腸がんの予防につながります。定期的な検査が最も有効な予防策です。

大腸癌について

大腸癌は日本で増加傾向にあるがんです。早期であれば内視鏡治療のみで完治が期待できます。
血便、便通異常、貧血を指摘された方は早めの受診をおすすめします。

結腸憩室について

大腸の壁が外側へ袋状に膨らんだ状態です。炎症を起こすと腹痛や発熱の原因になります。内視鏡で状態を評価します。

内痔核について

いわゆる「いぼ痔」です。排便時出血の原因となります。大腸カメラで他疾患との鑑別を行います。

過敏性腸症候群について

過敏性腸症候群は、腹痛や便通異常を繰り返す疾患です。まず内視鏡で重大な疾患を除外し、適切な治療へつなげます。

腸管アニサキスについて

まれにアニサキスが腸に侵入し、腹痛や炎症を起こします。内視鏡で診断可能な場合があります。

血便について

鮮血便・暗赤色便・黒色便など、原因はさまざまです。痔と思い込まず、必ず精密検査を受けましょう。

便秘症・下痢症について

慢性的な便秘や下痢の背景に、ポリープ、炎症性腸疾患、大腸癌が隠れていることがあります。原因を明確にし、適切な治療を行います。

よくある質問 FAQ

  • Q

    痛くない苦しくない内視鏡検査は、どういう人に可能ですか?

  • A

    車や自転車など、ご自身の運転でご来院される方にはお断りをさせていただいております。80歳以上のご高齢の方にも、積極的にはお勧めしておりませんが、それ以外の方でご希望の方は鎮静剤(胃カメラ・大腸カメラ)・鎮痛剤(大腸カメラ)の投与は可能です。
    胃カメラは基本的には経鼻で施行いたしますが、経口でも経鼻でも鎮静剤の使用は可能です。

  • Q

    健診の便潜血検査で陽性にならないと大腸カメラはできませんか?

  • A

    便潜血検査が陽性であれば大腸カメラをお勧めしますが、例えば「急に便柱が細くなった」場合や、急に便の性状が変わった(下痢気味、便秘気味、おならが増えた)などの、腹部の違和感、体重減少等、診察で大腸カメラが必要と判断された場合にはもちろん可能です。どうぞ、お気軽にご相談ください。

  • Q

    大腸カメラは何歳からやった方がいいですか?

  • A

    血便や腹痛がある場合は、10歳代から施行する方もいらっしゃいます。無症状の方も、大腸癌の家族歴がある方や、ご家族が大腸ポリープを切除した既往がある方は、40歳代を超えたタイミングで一度は施行した方が良いかもしれません。

  • Q

    大腸がん検診で要精査と言われました。便潜血検査が陽性と陰性でしたが、大腸カメラはしなくてはなりませんか?

  • A

    便潜血検査が一度でも陽性の場合は大腸カメラが推奨されます。大腸バリウム検査も候補に挙がりますが、結局は直接大腸粘膜を観察する方が確実な場合が多いです。もちろん、痔(内痔核)がある場合も便潜血検査が陽性になる場合があるので、症例に応じてですが毎年大腸カメラをする必要はありません。3-5年、大腸カメラを施行していない場合で、便潜血検査が一度でも陽性であった場合には大腸カメラをお勧めいたします。

  • Q

    札幌市の胃がん検診はできますか?

  • A

    できます。札幌市の胃がん検診は、日本消化器内視鏡専門医が施行することや、二重読影も行わなければなりません。当院では院長が日本消化器内視鏡専門医であり、二重読影も日本消化器内視鏡専門医の医師に依頼し施設認定されておりますので、お気軽にご相談ください。

  • Q

    胃カメラで、ピロリ菌検査は可能ですか?

  • A

    胃カメラで直接組織を採取してピロリ菌の有無を判定する、迅速ウレアーゼ試験は可能です。ただし、一部の胃薬を内服している場合は偽陰性となってしまいますので、その場合には他の方法(採血など)でピロリ菌の判定を行います。

  • Q

    ピロリ菌の除菌後です。除菌後も胃カメラをうける必要がありますか?

  • A

    ピロリ菌除菌後でしたら、除菌前までに感染した胃粘膜から、胃がんや胃潰瘍の発生リスクが正常粘膜に比べて5倍以上高いとされます。ですので、ピロリ菌除菌後は可能であれば年に1回、お忙しい場合でも2年に1回は定期的な胃カメラ検査をお勧めいたしております。

初診受付

再診の方

オンライン診療

Instagram

011-825-1111